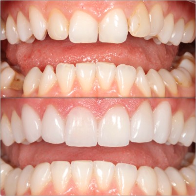
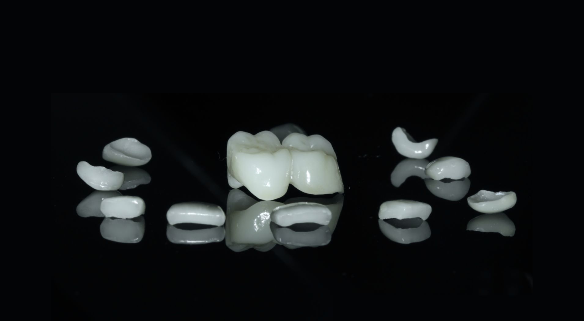
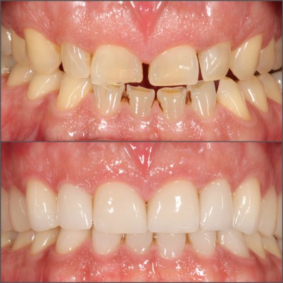
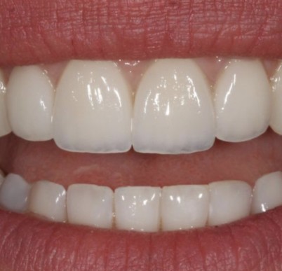
Luske so porcelanaste luske, ki se izdelajo po minimalnem brušenju samo sprednje stene zob in ki se s posebnimi cementi pritrdijo na zob. Izdelajo se v stomatološkem laboratoriju s tehniko prešanja ali računalniško tehnologijo CAD/CAM. Njihova uporaba se priporoča, ko je na sprednjih zobeh treba spremeniti:
Najboljši način za nadomeščanje izpuljenega zoba je IMPLANTAT (vsadek), ki ga vstavimo na njegovo mesto. Implantati (vsadki) se vstavijo v kost s pomočjo majhnega kirurškega posega, ki traja približno pol ure in ki, ob upoštevanju vseh pravil, ne predstavlja nobenega tveganja ali večjih bolečin po posegu.
Vstavljeni implantat (vsadek) postane novi nosilec prevleke, mostu ali retencije za zamenjavo ali lažje nošenje proteze.
Nevidna ortodontija je računalniško vodena izjemno natančna ortodontija. Gre za prozorne opornice, ki jih pacient nosi 24 ur na dan, razen takrat ko pije, jé ali se udeleži kakšnega pomembnega sestanka. So popolna rešitev za ljudi, ki so aktivni v javnosti in ki iz različnih razlogov ne želijo nositi fiksnega ortodontskega aparata.
Tatjana Knego, dr. dent. med., se že več kot dvajset let ukvarja z implantati in protetiko na implantatih. Z luskami se ukvarja približno deset let, z beljenjem z različnimi sistemi pa več kot 15 let. Estetska in funkcionalno zapletena protetična dela in obnove so za njo največji izziv. Danes je članica Evropskega združenja estetske stomatologije European Society of Cosmetic Dentistry.
Prikaži višePokličite nas +385 1 4847 432 ali nam pošljite sporočilo.